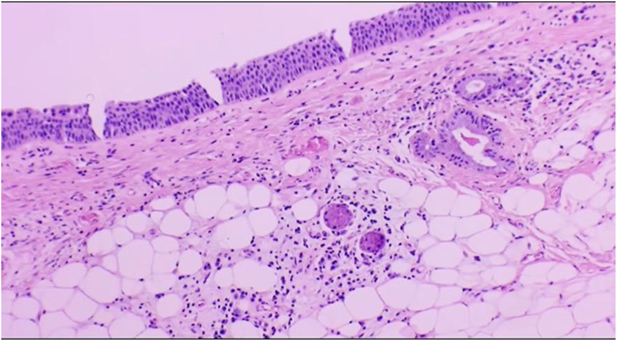
Fig. 3From: Endobronchial sialolipoma. Case reportA lipomatous tumour lined by respiratory cylindric epithelial cells, bronchial type. (H&E. 10X)Back to article page