Fig. 1

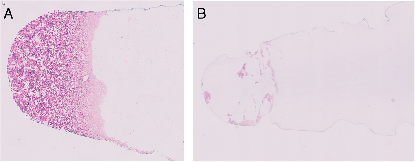
HE stained slides showing different cell densities in the cytological samples. A EGFR T790M case 1: normal/high cell density. B KRAS case 11; very low cell density

HE stained slides showing different cell densities in the cytological samples. A EGFR T790M case 1: normal/high cell density. B KRAS case 11; very low cell density